
Cad iad veinírí Feldspathic?
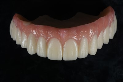
Tá veinírí feldspathic, déanta as an feldspar mianraí, ina rogha coitianta i dteicneolaíocht fiaclóireachta traidisiúnta. Meiltítear an t-ábhar seo i bpúdar mín agus déantar criadóireacht cosúil le gloine ag criadóireacht fiaclóireachta Síneach oilte. Ag baint úsáide as sraitheanna tanaí de roisín feldspar, déantar gach veinír ar lámhdhéanta ag teicneoir fiaclóireachta deimhnithe, bácáilte chun foirfeachta, agus comhrianaithe chun cuma tréshoilseach agus nádúrtha a bhaint amach. Is sainmharc iad na veneers seo de shaotharlanna fiaclóireachta ardchaighdeáin, go háirithe iad siúd i saotharlann fiaclóireachta ADS na Síne.
Is rogha préimhe iad veinírí feldspathic chun cuma fiacla a fheabhsú. Monaraithe i saotharlanna fiaclóireachta Shenzhen ADS, tá go leor buntáistí ag baint leis na veinírí seo:

01
Cuma Nádúrtha
Tá veinírí Feldspathic saincheaptha chun cumasc gan uaim le do chuid fiacla nádúrtha, ag cinntiú aoibh gháire saolta. Déanann a dtréshoilseacht aithris ar chuma an enamel nádúrtha, rud a fhágann nach féidir iad a bhrath.
02
Ullmhú fiacail Íosta
Murab ionann agus veneers E-max, is beag a éilíonn veneers feldspathic gan aon bhaint cruan, ag caomhnú struchtúr nádúrtha na bhfiacla. Is príomhghné iad veneers fiaclóireachta neamh-ullmhaithe a thairgeann ár saotharlann fiaclóireachta sa tSín.
03
Marthanacht
Cé go bhfuil siad tanaí (chomh beag le 0.3 mm), féadann veiníreacha feldspathic maireachtáil suas le 10 mbliana nó níos mó nuair a bhíonn siad nasctha i gceart.
04
Cost-Éifeachtúlacht
Cinntíonn Saotharlann Fiaclóireachta ADS sa tSín go bhfuil veneers feldspathic ar fáil ar phraghsanna réasúnta, rud a fhágann go mbeidh réitigh fiaclóireachta préimhe inrochtana do chách.
Cé A Bhfuil Veinírí Feldspathic Oiriúnach dóibh?

Othair a dteastaíonn veneers neamhullmhaithe uathu.
Fiacla a bhfuil an chuid is mó dá cruan slán.
Mion-lochtanna ar nós spásáil mhíchothrom, dídhathanna, nó mífhoirmíochtaí beaga.
Daoine aonair a bhfuil éilimh arda aeistéitiúla acu.
Cén fáth a roghnú linn?
Táimid ag lorg comhpháirtí comharchumann chun ár ngnó a leathnú.
Réitigh Lóistíochta Domhanda
Cumasaíonn ár gcomhpháirtíochtaí le FedEx, UPS, DHL, agus LINEX seachadadh tapa agus slán ar fud an domhain.
Shenzhen Saineolas Saotharlann Fiaclóireachta
Is príomhshaotharlann fiaclóireachta muid sa tSín le níos mó ná 400 teicneoir fiaclóireachta deimhnithe ag speisialú i veinírí agus réitigh fiaclóireachta préimhe eile. Tá taithí na mblianta ag ár bhfoireann ar theicneolaíochtaí fiaclóireachta traidisiúnta agus chun cinn.
Tacaíocht Tiomnaithe do Chustaiméirí
Soláthraíonn breis agus 40 ionadaí oilte cumarsáid gan uaim agus 363-tacaíocht ar líne lae.
Amanna slánúcháin Tapa
Is féidir cás simplí, lena n-áirítear lóistíocht, a chomhlánú i díreach 7 lá.
Barántas Cuimsitheach
Tagann ár veneers feldspathic go léir le barántas fadtéarmach, rud a léiríonn ár dtiomantas do chaighdeáin ardcháilíochta saotharlainne fiaclóireachta sa tSín.
Táirgí Deimhnithe Fiaclóireachta
Buaileann ár veneers deimhnithe idirnáisiúnta ar nós CE, FDA, agus ISO, a chinntíonn sábháilteacht, iontaofacht, agus feidhmíocht den scoth
Ceisteanna Coitianta
Ag ár saotharlann fiaclóireachta tSín ADS, comhcheanglaímid ceardaíocht nua-aimseartha le teicneolaíocht fiaclóireachta traidisiúnta chun réitigh saotharlainne fiaclóireachta ardchaighdeáin a sholáthar. Déan teagmháil linn inniu le haghaidh seirbhísí saotharlainne fiaclóireachta ar phraghas réasúnta agus taithí a fháil ar shárshaotharlann fiaclóireachta veiníre Shenzhen.
Cad é an difríocht idir veneers E-max agus veneers Feldspathic?
+
-
Tá veneers E-Max, déanta as litiam disilicate, aitheanta as a neart agus marthanacht. Mar sin féin, ceadaíonn veneers feldspathic, crafted i saotharlanna fiaclóireachta Shenzhen, níos mó saincheaptha cruth agus dath. Is minic gur fearr iad chun cuma nádúrtha, phearsantaithe a bhaint amach.
Cé chomh caol is atá veinírí Feldspathic?
+
-
Is féidir le veinírí feldspathic a bheith chomh tanaí le 0.3 mm, a éilíonn ullmhúchán fiacail íosta.
Déantá feldspathicveneers a cheangal ar ullmhú fiacail?
+
-
Is féidir veinírí feldspathic an-tanaí a chruthú le hullmhú beag fiacail.
An bhFuil Siad Cosúil le Fiacla Nádúrtha?
+
-
Sea, tá veinírí feldspathic deartha go cúramach chun dath, méid agus cruth do chuid fiacla nádúrtha a mhacasamhlú, ag cruthú aoibh gháire gan smál agus orgánach.
Cé chomh fada a mhaireann siad?
+
-
Le cúram cuí, is féidir le veiníreacha feldspathic blianta fada anuas. Cinnteoidh scuabadh rialta, flossing, agus seachaint bianna crua a gcuid fad saoil.
Clibeanna Te: veneers feldspathic, monaróirí veneers feldspathic tSín, soláthraithe, monarcha
